歯牙移植
抜歯した親知らずで再生療法
歯牙移植(骨の移植)について
抜歯が必要な場合に親知らずなど他の健康な歯を移植する治療法です。
むし歯や歯周病で歯を失った後に、通常必要のない親知らずをなくなった箇所に移植することによって健康な歯並びを回復することができます。
歯牙移植のメリット
自身の歯を再利用できるため、親和性が高く自然な噛み心地を得られ、周囲の歯への負担を軽減できる点です。
また、インプラントに比べて手術の負担が少なく、費用も抑えられる場合があります。
歯牙移植の診断や流れ
-
検査・診断
CT撮影します。移植する歯の状態や移植先の状態・全身状態などを詳しく検査します。
-
移植する歯の抜歯
移植に用いる歯を丁寧に抜歯します。
-
歯の移植
抜歯した場所に、移植する歯が合うように骨を調整し固定します。
-
治癒・確認
移植した歯が骨と結合するまで約2~3ヶ月程度の経過観察をします。
移植した歯が安定したら、最終的な被せ物を作製します。
歯牙移植をご検討の方は公式サイトの予約フォームよりお問い合わせください
歯牙移植の症例
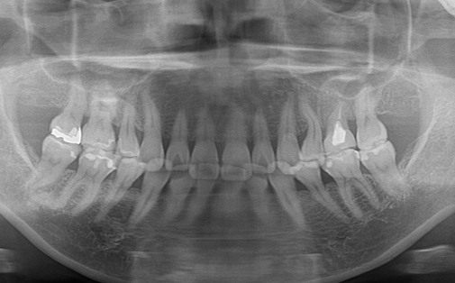
抜歯した親知らずを移植(1)
Before
After
Before
After
左上の親知らずの歯を移植しました。20代前半の症例です。
ご自身の歯のため親和性が高く、移植後も不自由なく機能しています。
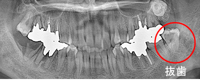
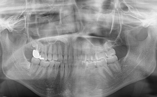
抜歯した親知らずを移植(2)
Before
After
左下の親知らずの歯を移植の症例です。
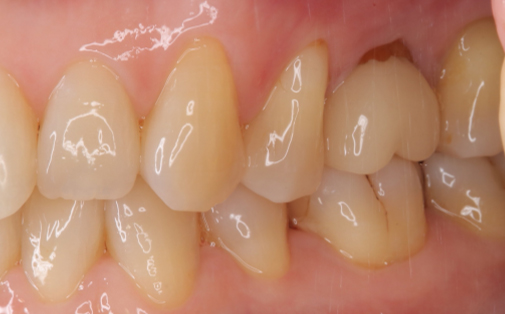
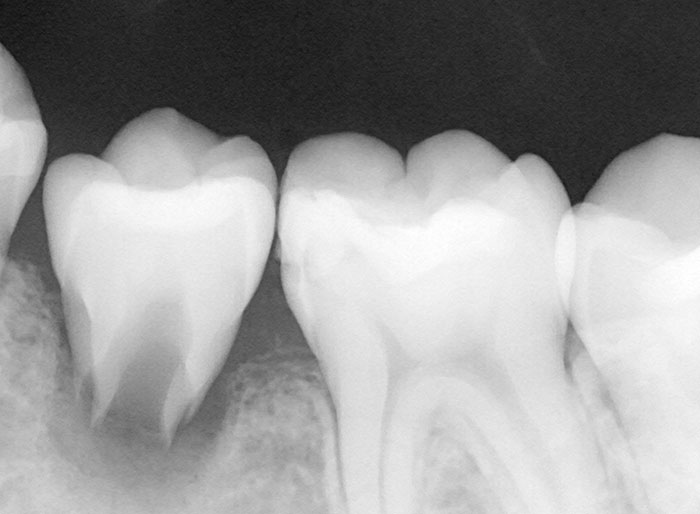
抜歯した親知らずを移植(3)
Before
After
Before
After
左上の歯が折れています。折れた歯を抜き、親知らずの歯を移植しました。
サイト監修医師

柳澤歯科クリニック 院長 柳澤 邦博
- スタディーグループ
-
- 日本歯科先端技術研究所
- 口腔科医を育てる会
- 歯列育形成研究会
- 所属学会等
-
- 日本歯周病学会
- 日本臨床歯周病学会
- 日本口腔インプラント学会
- 日本臨床CADCAM学会
- 日本老年歯科医学会
- 日本糖尿病協会
- 昭和大学歯学部客員講師
