症例集
各専門治療の症例をご紹介いたします
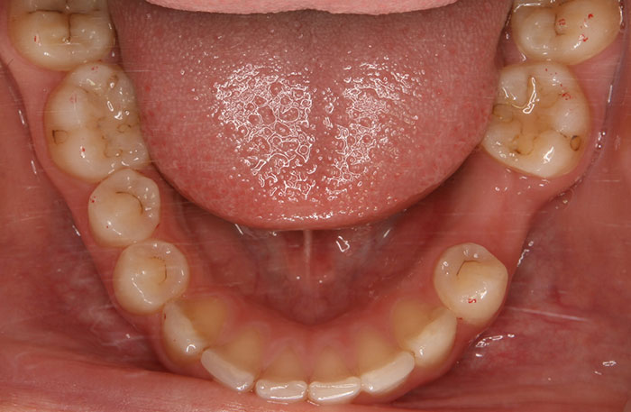
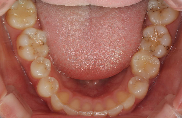
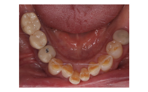
歯の移植の症例
Before
After
親知らずの歯を移植したケースです。患者様はとても喜ばれておりました。
横になった親知らずの症例
Before
After
Before
After
Before
After
真横になった親知らずを抜歯したレントゲン写真です。
歯の移植の症例
Before
After
歯の移植をしたレントゲン写真です。
再生治療:左下水平埋伏智歯の抜歯とCGF
Before
After
CGF(再生療法)
親知らずの抜歯後(傷口)をきれいにする再生療法です。
患者自身の血液から採取した成長因子を濃縮したCGFを使用し、骨や歯周組織の再生を促進する治療法です。
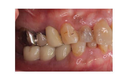
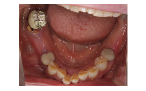
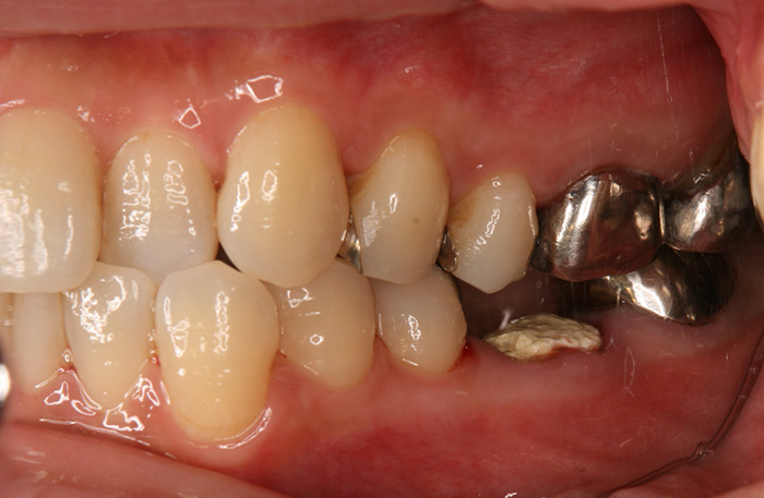
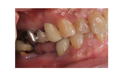
骨造成とインプラント
Before
After
Before
After
骨造成とインプラント
下顎の骨量が乏しいため骨造成をし、その後インプラント治療を行いました。
かみ合わせも良好でしっかりと機能しています。
サイト監修医師

柳澤歯科クリニック 院長 柳澤 邦博
- スタディーグループ
-
- 日本歯科先端技術研究所
- 口腔科医を育てる会
- 歯列育形成研究会
- 所属学会等
-
- 日本歯周病学会
- 日本臨床歯周病学会
- 日本口腔インプラント学会
- 日本臨床CADCAM学会
- 日本老年歯科医学会
- 日本糖尿病協会
- 昭和大学歯学部客員講師
